当院で治療出来る主な疾患について説明します。
01 脳動脈瘤 開頭クリッピング術
脳動脈瘤(のうどうみゃくりゅう)とは?
脳の血管の一部が膨らんで、風船のような状態になったものです。
破裂すると “くも膜下出血” になります。
開頭 脳動脈瘤頚部クリッピング術
頭蓋骨を一部外して、脳のすき間を分け、クリップで瘤を挟んで治します。
02 脳動脈瘤 血管内コイル塞栓術
血管内コイル塞栓(そくせん)術
血管の中から瘤内にコイルを詰めて治します。 “切らずに” 治すカテーテル治療です。
03 頚部内頚動脈狭窄症 頚動脈ステント留置術
頚部内頚動脈狭窄症(けいぶないけいどうみゃくきょうさくしょう)とは?
首の高さで、脳に入っていく大きな血管が狭くなる状態です。
脳梗塞の原因として重要で、近年増加しています。
頚動脈ステント留置術
カテーテルを用いて、血管の内側から狭くなった部位を風船で拡げ、ステントを留置し拡張します。
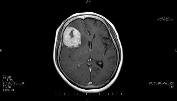
04 脳腫瘍 開頭脳腫瘍摘出術
脳腫瘍(のうしゅよう)とは?
脳腫瘍にも、良性や悪性があります。良性のものは、手術できれいに取ると普通の生活に戻ることが可能です。
開頭脳腫瘍摘出術
頭蓋骨を開けて腫瘍を取り除きます。その他に、放射線治療などを行うこともあります。
脳腫瘍術前
脳腫瘍術後
05 頚椎後縦靭帯骨化症 椎弓形成術
頚椎後縦靭帯骨化症(けいつい こうじゅうじんたいこっかしょう)とは?
頚椎をつなぐ靭帯が骨のように固くなり、さらに厚くなって脊髄を圧迫する病気です。
手足のしびれや筋力の低下をきたすことがあります。
椎弓形成術
脊髄(神経の束)が通るトンネルを、屋根を上げるような形で広くする手術です。
OPLL 術前
OPLL 術後
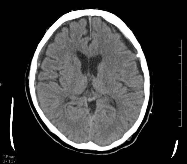
06 慢性硬膜下血腫 穿頭血腫洗浄ドレナージ術
慢性硬膜下血腫(まんせいこうまくかけっしゅ)とは?
頭をぶつけたりした後、数週間してから血が溜まってくる不思議な袋状のかたまりです。
自然に治ることもありますが、大きい場合は手術が必要となります。
穿頭(せんとう)血腫洗浄ドレナージ術
1円玉サイズの穴を頭の骨に開けて、そこから細い管(ドレーン)を入れて中身の血性液を除去洗浄します。内容液を抜くために、ドレーンを残したまま傷を閉じます。ドレーンは翌日に抜去します。
07 脳内出血 開頭脳内血腫除去術
脳内出血(のうないしゅっけつ)とは?
主に高血圧症などが原因で、脳の内部に出血したものです。少量であれば自然に吸収されますが、大量であれば命に関わることもあります。
開頭脳内血腫除去術
頭蓋骨を開けて、極力脳の損傷が少ないルートで血腫に到達し、血腫を取り除きます。

























